HOME > 院長BLOG > 2015年1月

院長BLOG

こどもの骨折はバキッと折れずに、ぐにゃっと曲がる(上腕骨編)

2015.1.06 カテゴリー|骨折・捻挫の治療

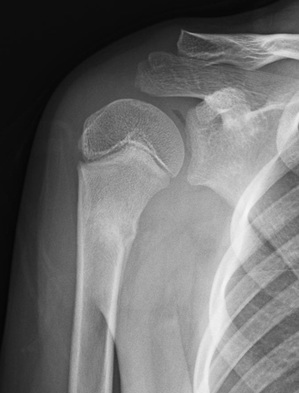
11歳のサッカー少年

学校で遊んでいて転んで床に右肩を強打して受傷しました。

受傷時のレントゲンです。矢印で刺した部分で上腕骨がぐにゃっと曲がっています。

11871a.jpg

痛みが強かったので、右上肢を「てつり」で固定しました。

1週間後には痛みがほとんどなくなったので、「てつり」を外し、自分の力で右腕をあげないように指導しました。(自動挙上禁止)

受傷後2週間でほとんど痛みがなくなり、レントゲン上も仮骨がみえたので、痛くない範囲で右腕を動かしていいと指導しました。(自動挙上許可)

受傷4週間後には、痛みは完全に良くなり、肩の動きの制限もなくなったので、転ばないように注意すればサッカーもしていいと許可して、治療を終了しました。

11871b.jpg

このように、こどもの骨折はバキッと折れずにぐにゃっと曲がります。こどもの場合4週間で治りますが、大人が同じ場所を骨折した場合、8週間以上かかります。

最近の記事

カテゴリー

月別アーカイブ