HOME > 院長BLOG > 1歳男児の脛骨骨折の治療と経過

院長BLOG

1歳男児の脛骨骨折の治療と経過

2016.10.14 カテゴリー|骨折・捻挫の治療

 1歳9ヶ月の男児

 保育園の滑り台から落ちて受傷しました。

 初診時のレントゲン

15071a.jpg

 脛骨の骨幹部に斜骨折を認めました。

 太ももから足の甲までギプスを巻きました。

 

 1週間後レントゲン

15071b.jpg

 この時点で、つかまり立ちが出来るようになりました。

 

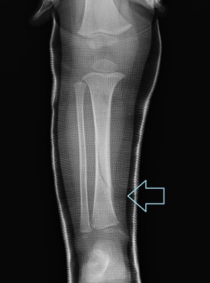
 2週間後のレントゲン

15071c.jpg

 矢印の部分に仮骨が見えます。

 この時点ではギプスのままで2歩くらい歩けるようになりました。

 

 3週間後のレントゲン

15071d.jpg

 仮骨がしっかり出来たので、ギプスを外しました。

 この時点ではすたすた歩けるようになっていました。

 

 4週間後のレントゲン

15071e.jpg

 骨はしっかりくっつきました。

 小走りも出来るようになったので治療を終了しました。

 

 1歳の子に、歩くなとか、体重をかけるな、とかいっても無理なので、歩行や日常動作に関して特に制限をしませんでした。

 むしろ、小さい子供は、大人と違って痛ければ無理に歩いたりはしないので、制限をかけなくても大丈夫だと考えています。

 

最近の記事

カテゴリー

月別アーカイブ